【鉅豐牙醫♥ 矯正日記】頗受歡迎的羅小弟又再現嚕~~
【羅小弟的矯正日記】和大家分享不同年齡層的矯正歷程!!!
還記得上回鉅豐為大家介紹的羅小弟嗎
不能錯過的現正進行式之矯正日記就在鉅豐牙醫為您呈現~
首先讓我們先回顧一下羅小弟的矯正前狀況吧!!
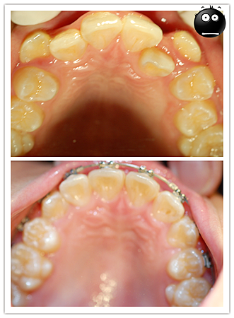
-回顧羅小弟的矯正初始紀錄-
羅小弟是一個上暴下暴一級咬合的例子
個案年紀還小,若在把握在孩子發育時矯正
鼻子可能會變挺、臉型也會變長喔!!
鉅豐矯正專科醫師-魏醫師透過[自鎖式矯正器],使矯正的速度更快速
而且矯正常見的疼痛情形可以大大減緩呢!!
-戴上矯正器,效果十分顯著-
經過魏醫師為羅小弟特別打造的專屬矯正計畫
[自鎖式矯正器],使矯正的速度更快速
也在在降低小朋友的不舒服感覺 (你看看羅小弟都沒在害怕的)
快看看以下戴矯正器的前後
是不是矯正初期就有顯著的效果呢!!!
上下顎前排原本非常擁擠、不整的牙齒
全都乖乖定位了!!!連原本的暴牙也不見了喔~


-您最值得信賴的,矯正家庭醫師-
矯正計畫已進入第二階段,空間持續關閉中
而且也因為魏醫師的親民,小朋友都很愛魏醫師喔
再也不怕看牙醫了呢!!這讓矯正計畫得以順利進行
更因為魏醫師總是耐心的衛教,讓小朋友的口腔衛生都維持的很好呢
更讓魏醫師有個[矯正家庭醫師]的美稱!
註:矯正小常識
常常矯正患者最容易忽略的就是矯正期間的口腔清潔
因為總是矯正完,雖然換得整齊的牙齒,但牙齒也蛀光光了
所以矯正期間預防齲齒(蛀牙)是相當重要的環節喔!

-選擇專屬你的矯正家庭醫師-
一次矯正的療程往往伴隨著你2年的時間
所以除了找專業性高的牙醫師
更要找到自己信任與契合的醫師最為重要
才可以使長達兩年的療程進行的更順利愉快喔!! 
更精采的羅小弟矯正日記,與您分享不同年齡層的矯正經歷,下回見❤
大家一定要多多支持【鉅豐牙醫特輯♥ 矯正日記】唷!!


